
Uma pesquisa divulgada neste mês de maio revelou que os vírus respiratórios, inclusive o vírus da Covid-19, pode permanecer em crianças e se replicar nas amígdalas, adenoides e secreções, mesmo sem sintomas ou histórico de infecções recentes.
Essa pesquisa em questão foi feita na Faculdade de Medicina de Ribeirão Preto da Universidade de São Paulo (FMRP-USP).
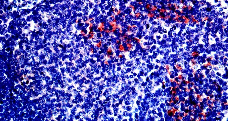
Os pesquisadores descobríram, analisan algumas amígdalas e adenoides que foram retiradas de crianças entre 3 e 11 anos de idade – no total, foram 48 crianças – que o RNA e proteína de vírus foram detecados.
Essa dectação ocorreu tanto nas amígdalas quanto em lavados nasais e secreções respiratórias de crianças com hipertrofia tonsilar e sem sintomas de doenças respiratórias e de Covid-19.
Pesquisa inclui vírus da Covid-19
Durante a pesquisa, os estudiosos também descobriram que o vírus da Covid-19, o SARS-CoV-2, persistia nas amígdalas e adenoides.
Os resultados foram publicados em uma revista científica chamada “Microbiology Spectrum”, que mostrava também diferentes linhagens do vírus da COVID-19.
Além de contribuir para que seja melhor entedida a doença, esses resultados também indicam uma nova via de interferência do vírus na resposta imune e uma potencial fonte de transmissão da doença para a comunidade, mesmo a partir de pessoas assintomáticas.
A investigação teve apoio da Fapesp por meio de um amplo estudo que busca compreender a biologia, patogênese e prospecção de vírus emergentes.
Os pesquisadores acreditam que a infecção de linfócitos B e T, macrófagos e células dendríticas por Sars-CoV-2 pode interferir na montagem de respostas imunes nesses órgãos linfoides secundários.




